Informatii
Osteodensitometrie (DEXA) – ghid complet
Cand si de ce sa facem mamografia?
RMN - San (Mamar)
CT (Computer Tomograf) – Totul despre substanta de contrast
RMN - Totul despre substanta de contrast
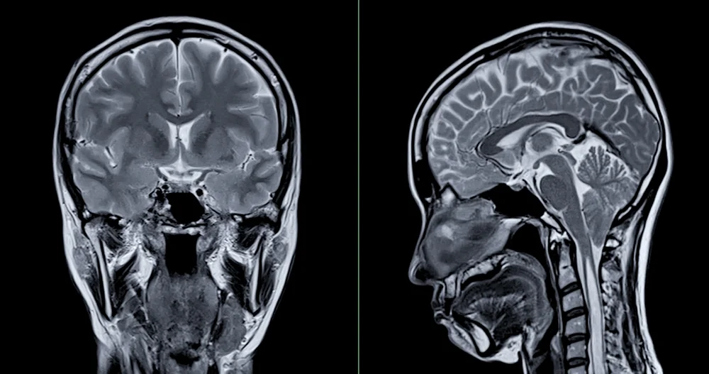
RMN – Cerebral
RMN - Coloana Cervicala
RMN - Coloana Lombara
RMN - Genunchi
RMN - Prostata
Afectiunile hormonale la femei
Ecografie tiroida
Ecografie prostata
Ecografie cardiaca
Electrocauterizare
Ecografie transvaginala
Ecografie - Biometrie fetala
RMN - Umar
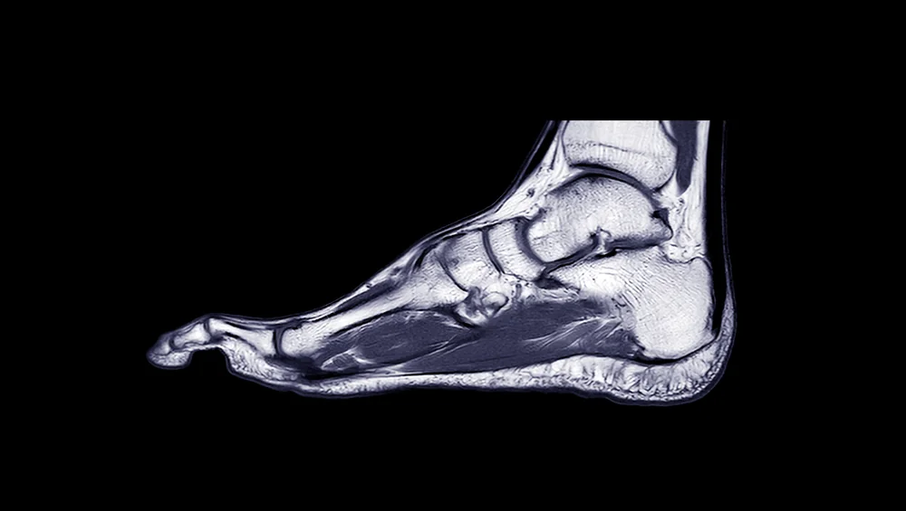
RMN - Picior
CT TAP (Computer Tomograf Torace, Abdomen si Pelvis)
CT (Computer Tomograf) - Torace
Radiografie toracica – cand si cum te ajuta
Dermatoscopie
Crioterapie
Ecografie mamara - Tot ce trebuie să știi
Ecografie abdominală - Pregătirea corectă și tot ce trebuie să știi
Video / Interviuri
Bucura-te de sanatate! Episodul 1: Adrian Mutu
Dr. Brezeanu Dragos: Despre mastodinie
Parteneriat FC Rapid Bucuresti
RMN (IRM) – Riscuri
Dr. Brezeanu Ana – Maria: Despre consultul ginecologic
Dr. Brezeanu Dragos: Consultul ginecologic in menopauza
Dr. Brezeanu Dragos: Despre colposcopie
Dr. Dawood Aws Adnan: Totul despre electrocardiograma (EKG, ECG)
Ecografie musculoscheletala si de parti moi
Dr. Dawood Aws Adnan: Despre ecocardiografie
Istoria ecografiei
Dr. Bîtcă Romeo: Despre nodulii tiroidieni
Dr. Gherasim Iustina: Despre osteoporoza si osteodensitometrie (DEXA)
Dermapen 4
Dr. Gherasim Iustina: Despre tiroidita cronica autoimuna
Dr. Enea Felicia: Ecografie mamara sau Mamografie?
Dr. Liana Pauna Cristian: Despre ecografie mamara
Elastografia
Dr. Liana Pauna Cristian: Despre punctie biopsie mamara
Osteoporoza
Dr. Eddan Athir: Despre mamografie
Colposcopie
Testul Babes Papanicolau (PAP)
Holter TA – Monitorizarea tensiunii arteriale
Holter ECG
Pregatirea pacientului pentru ecografie abdominala
+ Bucură-te de sănătate